急伸する医療へのAI利用
マイクロソフトの2.1兆円買収で加速
毎週火・金曜日発行のAxion Newsletterは、デジタル経済アナリストの吉田拓史(@taxiyoshida)が、その週に顕在化した最新のトレンドを調べて解説するニュースレターです。同様の趣旨のポッドキャストもあります。ぜひご登録ください。
要点
医療のあらゆる領域でAI利用が着々と進んでいる。これらの技術は、治療、医療機関、製薬会社、医療事務プロセスなどさまざまな面で変革をもたらす可能性がある。
マイクロソフトは先週、リンクトインに次いで史上2番目に高額な買収となるNuance社の買収を発表し、医療分野での野心の大きさを示した。音声認識を専門とするNuance社は、マイクロソフトが患者と医師の診察内容を音声認識し、要約して電子カルテに組み込む技術を開発することで、臨床医が報告書やメモを入力する時間を短縮することを可能にしている(詳しくは先週のニュースレター)。
Nuance社は人工知能(AI)技術のなかで、医療分野に特化した音声認識、自然言語処理(NLP)という手法に長けている。同社の製品は医師の業務を円滑化する点に集中しているが、AIとその関連技術は、医療の様々な領域でますます普及しており、最もホットな分野の一つである。これらの技術は、治療、医療機関、製薬会社、医療事務プロセスなど、さまざまな面で変革をもたらす可能性がある。
病気の診断など、ヘルスケアの重要なタスクにおいて、AIが人間と同等かそれ以上のパフォーマンスを発揮できることを示唆する研究結果が、すでに多数発表されている。アルゴリズムはすでに放射線技師よりも優れた方法で悪性腫瘍を発見し、研究者に高額な臨床試験のための疾病の要因と発症の関連を調べるための観察的研究手法を構築する方法を教えている。しかし、さまざまな理由から、幅広い医療プロセス領域でAIが人間に取って代わるには、まだ何年もかかると考えられている。
医療分野では、従来の機械学習の最も一般的な応用例として、患者の様々な属性や治療の状況に基づいて、どのような治療プロトコルが患者に成功する可能性が高いかを予測する精密医療が挙げられる。
最も複雑な機械学習には、深層学習(ディープラーニング)や、結果を予測する特徴や変数を何段階も持つニューラルネットワークモデルがあるが、医療分野における深層学習の一般的な応用例としては、放射線画像中の癌の可能性がある病変(病気の過程であらわれる生体の局所変化)の認識が挙げられる。深層学習は、ラジオミクス(人間の目で認識できる範囲を超えて、画像データ中の臨床的に関連する特徴を検出すること)への応用が増えている。ラジオミクスと深層学習は、いずれも腫瘍に特化した画像解析で最もよく見られるものだ。これらを組み合わせることで、CAD(Computer-Aided Detection)と呼ばれる前世代の画像解析自動化ツールよりも高い精度の診断が可能になると考えられる。
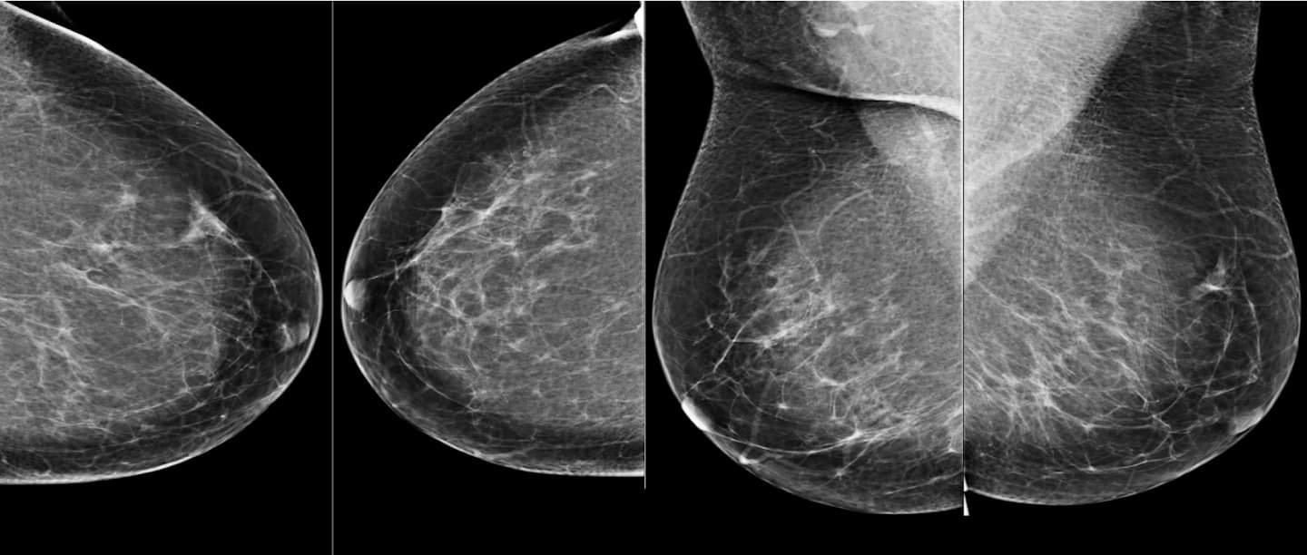
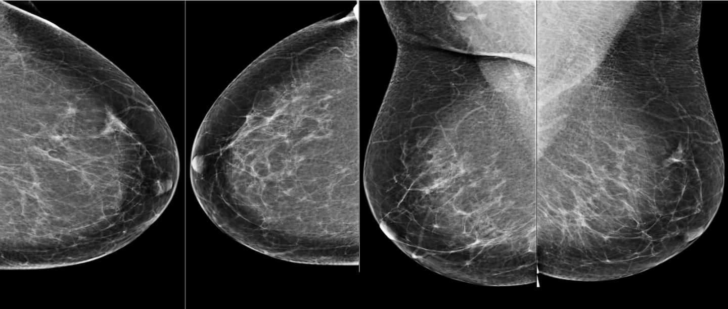
このような技術のほとんどは臨床現場ではなく、研究所やテクノロジー企業に存在している。例えば、Google傘下のAI研究所であるDeepMindは、乳がん診断を行うAIモデルを開発しており、2020年1月に「Nature」に論文として発表された研究によると、乳房X線撮影像(マンモグラム)を使った乳がん診断で「AIの方が人間の専門医より偽陽性、偽陰性の判定が少なく、正確な結果を出した」と主張している。研究によると、チームは米国と英国の臨床現場を代表する2つの大規模データセットを用いて、偽陽性(陰性であるにも関わらず陽性結果となること)を5.7%/1.2%(米国/英国)、偽陰性を9.4%/2.7%(米国/英国)、減少させることができた。
また、マイクロソフトリサーチとワシントン大学を中心としたチームは、スマートフォンやパソコンのカメラを使って、患者の顔をリアルタイムで撮影した映像から脈拍や呼吸の信号を取る方法を開発した。昨年12月に上位の学会で発表されたこの研究は、機械学習を利用して、顔に反射する光の微妙な変化をとらえ、それが血流の変化と関連していることを示した。これはIoTデバイスを通じたセンサーデータを機械学習で解析することで、診察プロセスの簡潔化や予防医療への道筋を開くものだ。
以前は、IBMのワトソンが精密医療、特にがんの診断と治療に焦点を当てていることがメディアで注目されていた。Watsonは、機械学習とNLPの機能を組み合わせて採用している。しかし、この技術の応用への期待は、特定の種類のがんに対処する方法をWatsonに教えることや、Watsonを医療プロセスやシステムに統合することの難しさに気付いたことで薄れてしまったとされる。ほとんどのオブザーバーは、ワトソンのAPIは技術的には有能だが、がん治療を引き受けるのは野心的すぎる目的だったと感じているという。また、Watsonをはじめとするプロプライエタリなプログラムは、GoogleのTensorFlowなど様々な無料の「オープンソース」プログラムとの競合に敗れてしまった。
AIやビッグデータを使って、人間の臨床医と同等以上の精度で病気を診断・治療するアプローチを開発したと主張する研究所は相次いでいる。これらの研究成果の多くは放射線画像の解析に基づいているが、中には網膜スキャンやゲノムベースの精密医療など、他の種類の画像を対象としたものもある。これらの種類の研究成果は統計学に基づいた機械学習モデルに基づいているため、エビデンスや確率に基づく医療の時代の到来を予感させるが、これは医療倫理や患者と臨床医の関係において多くの課題をもたらすだろう。例えば、人種や性別で提案される医療方法が異なり、得られる医療サービスに差が生じたとき、倫理的な議論を必要とするだろう(すでに予測警察や司法の分野で差別的なアルゴリズムの登場が問題になっている)。
医師はますます、大量の複雑なデータを処理し、相互に関連付けなければならなくなっていくだろう。電子医療データの普及も進み、患者や施設レベルの高品質なデータが大量に得られるようになったことで,新たな可能性が生まれている。これまでは、臨床データの大部分が無視されていた(あるいは全く収集されていなかった)。これは、データの大きさや複雑さに加え、データを収集・保存する技術がなかったことが原因だ。これらのデータは十分に活用されておらず、過小評価されていることが多かったのだが、データの収集・保存方法(電子カルテなど)が新しく改善されたことで、分析の問題に取り組む機会が増えている。特に、機械学習は広く浸透し始めている。
参考文献
McKinney, S.M., Sieniek, M., Godbole, V. et al. International evaluation of an AI system for breast cancer screening. Nature 577, 89–94 (2020). https://doi.org/10.1038/s41586-019-1799-6
Davenport T, Kalakota R. The potential for artificial intelligence in healthcare. Future Healthc J. 2019;6(2):94-98. doi:10.7861/futurehosp.6-2-94
※他、参考文献はリンクで示した。
Special thanks to supporters !
Shogo Otani, 林祐輔, 鈴木卓也, Mayumi Nakamura, Kinoco, Masatoshi Yokota, Yohei Onishi, Tomochika Hara, 秋元 善次, Satoshi Takeda, Ken Manabe, Yasuhiro Hatabe, 4383, lostworld, ogawaa1218, txpyr12, shimon8470, tokyo_h, kkawakami, nakamatchy, wslash, TS, ikebukurou 太郎, bantou, shota0404, Sarah_investing, Sotaro Kimura, UmiSora, TAMAKI Yoshihito, kanikanaa.
700円/月の支援
Axionは吉田が2年無給で、1年が高校生アルバイトの賃金で進めている「慈善活動」です。コーヒー代のご支援をお願いします。個人で投資を検討の方はTwitter(@taxiyoshida)までご連絡ください。
Campfire(日本語): https://community.camp-fire.jp/projects/view/371227
Patrion(English): https://www.patreon.com/taxiyoshida



